(Adnkronos) – Microplastiche presenti nella prostata e nel liquido seminale umano, con dimensioni paragonabili a quelle degli spermatozoi e con quantità che, su un eiaculato di volume medio, arrivano a un ordine di grandezza di alcune centinaia di particelle. E’ quanto emerso dal nuovo studio dell’Università di Padova. Un risultato che rafforza l’attenzione scientifica sui contaminanti ambientali e sui loro possibili effetti indiretti.  

I risultati saranno presentati a Padova nel corso del 40esimo convegno di Medicina della Riproduzione domani, giovedì 29 gennaio e venerdì 30. Secondo la nuova ricerca, coordinata dal professor Carlo Foresta, in collaborazione con i professori Andrea Di Nisio e Lucio Litti, la presenza di microplastiche nel liquido seminale umano, fornendo evidenze inedite su come queste particelle, ormai onnipresenti nell’ambiente, possano raggiungere anche il sistema riproduttivo maschile mantenendo inalterata la loro morfologia.  

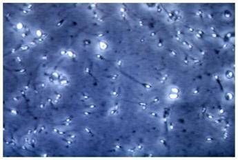
Analizzando campioni di liquido seminale provenienti da uomini sani con parametri nella norma, i ricercatori hanno individuato microplastiche in tutti i sei campioni esaminati. Le particelle osservate hanno dimensioni molto piccole, comprese tra circa 2 e 13 micrometri. Si tratta di dimensioni estremamente ridotte: pochi micrometri corrispondono infatti a grandezze paragonabili a quelle degli spermatozoi stessi, la cui testa ha un diametro di circa 5-8 micrometri. 

“Parliamo di circa 50 particelle per millilitro, quindi di numeri molto bassi se confrontati con le cellule presenti nel liquido seminale – spiega il professor Foresta – Nel caso delle microplastiche però il dato va letto in termini di presenza e non di peso: si tratta di un ordine di grandezza del tutto in linea con quello osservato in altri fluidi biologici umani, come sangue, latte materno o placenta, e indica che l’esposizione ambientale a queste particelle riguarda anche il sistema riproduttivo”. L’analisi chimica, effettuata in collaborazione con il professor Lucio Litti del Dipartimento di Scienze Chimiche dell’Università di Padova, ha mostrato che le microplastiche individuate sono costituite da polimeri di uso comunissimo, come polipropilene, polietilene e polistirene, oltre a quantità minori di altri materiali plastici. Si tratta delle stesse plastiche utilizzate quotidianamente per imballaggi, contenitori, tessuti sintetici e numerosi oggetti di largo consumo, a conferma di una esposizione ambientale continua. 

“Uno degli aspetti più rilevanti emersi dallo studio è che le microplastiche, pur essendo presenti nel liquido seminale, non aderiscono agli spermatozoi e non penetrano al loro interno”, si legge nello studio. Le particelle risultano disperse nel plasma seminale e coesistono con le cellule senza stabilire un’interazione diretta. “Questo dato è importante perché indica che, almeno per le microplastiche di queste dimensioni, non osserviamo un contatto diretto con gli spermatozoi – sottolinea il professor Andrea Di Nisio dell’Università Pegaso, co-autore dello studio – Ciò non significa che il problema sia irrilevante, ma che eventuali effetti potrebbero essere mediati da meccanismi indiretti, legati piuttosto alle strutture riproduttive che le microplastiche attraversano prima di arrivare al liquido seminale, come ad esempio testicoli, epididimo e prostata”. 

Un ulteriore risultato di grande interesse riguarda infatti la presenza di microplastiche anche nella prostata. In questo caso, le particelle osservate risultano mediamente più grandi rispetto a quelle rinvenute nel liquido seminale. Questa differenza suggerisce che la prostata possa svolgere una funzione di filtro biologico, trattenendo le particelle di dimensioni maggiori e consentendo invece a quelle più piccole di superare la barriera prostatica e di raggiungere il liquido seminale. “La prostata potrebbe rappresentare un punto chiave nel percorso delle microplastiche all’interno dell’apparato riproduttivo maschile – osserva Foresta – Le particelle più piccole sembrano in grado di oltrepassare questo filtro naturale e arrivare fino al liquido seminale”. 

Nel loro insieme, i risultati indicano che il liquido seminale potrebbe rappresentare “un indicatore biologico non invasivo dell’esposizione umana alle microplastiche”. “Questi dati non devono essere interpretati in modo allarmistico, ma come un segnale da comprendere meglio – conclude Foresta – Servono ulteriori studi per chiarire gli effetti a lungo termine dell’esposizione alle microplastiche, soprattutto considerando particelle ancora più piccole, come le nanoplastiche, che oggi non siamo in grado di osservare con sufficiente precisione”.